大人の矯正
現代においては、昔と比べ診断及び治療技術が進歩し、大人になってからの治療も普通になっております。矯正治療は、歯を支える歯肉や歯槽骨、歯根膜が健全であれば、何歳でも行えます。
患者様のご希望に配慮し、治療ゴールの設定を行います。
上あごと下あごの骨に重度の不調和がある骨格性不正咬合の場合は、外科矯正治療(あごの手術を併用)となり、他専門医院へ紹介となりますが、軽度な骨格的不調和がある場合、ご希望に応じて可能であれば歯科矯正用アンカープレートを使用したカモフラージュ治療には対応いたします(他医院口腔外科専門医と連携医療)
できるだけ小臼歯抜歯を避けたい方にも、可能であれば歯科矯正用アンカープレートを使用した治療を提案いたします(連携医療)
大人の矯正治療の流れ
STEP1 矯正相談
歯並び、噛み合わせ、矯正治療に関する疑問や心配事など何でも遠慮なくご相談下さい。 診察を行い、矯正治療の流れ、期間、費用の概要などについてご説明致します。
STEP2 検査
診断に必要なレントゲン写真、歯型の採取、写真撮影、診査を行います。
STEP3 診断
検査結果を分析して、現在の問題点、治療法、装置の種類、治療期間、治療費用などについてご説明致します。
複数の選択肢を提示する場合もあります。
STEP4 治療
装置をつけて歯を移動します。症状によって異なりますが、治療期間は約2年くらいです。およそ1ヶ月に1度の通院になります。
STEP5 保定・成長観察
移動させた歯が戻らないように保定装置に切り替わります。3ヶ月~6ヶ月に1度の通院でメインテナンスをしていきます。
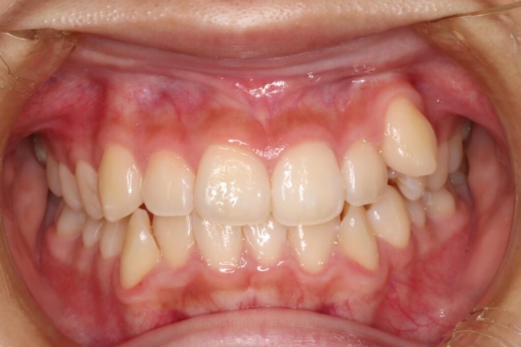
矯正治療例
治療前

【主訴】上下の前歯の凹凸
【診断】叢生、非対称
【年齢】16歳1か月
【装置】セルフライゲーションブラケット装置 (デーモンシステム)
【抜歯部位】上下顎第1小臼歯
【治療期間】23ヵ月
【費用】90万円(税込)
【リスク】親知らずの萌出
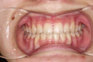
治療後


